![]() | ![]() | ![]() |
| | ||
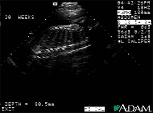
Ultrasound, normal fetus - spine and ribs

This is a normal fetal ultrasound performed at 30 weeks gestation. In the middle of the screen, a clear outline of the spine and ribs is visible. The cross hair is between two ribs just above the spine.
Update Date: 1/24/2008 Updated by: Benjamin Taragin, M.D., Adjunct Professor of Radiology, Columbia Presbyterian School of Medicine, New York, NY, and Attending Radiologist, St. Joseph's Hospital, Paterson, NJ. Review provided by VeriMed Healthcare Network. Also reviewed by David Zieve, MD, MHA, Medical Director, A.D.A.M., Inc.
