![]() | ![]() | ![]() |
| | ||
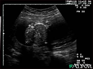
Ultrasound, normal fetus - abdomen measurements

This is a normal fetal ultrasound performed at 19 weeks gestation. Many health care providers like to have fetal measurements to verify the size of the fetus and to look for any abnormalities. This ultrasound is of an abdominal measurement. It shows a cross-section of the abdomen, and the measurements are indicated by the cross hairs and dotted lines.
Update Date: 1/24/2008 Updated by: Benjamin Taragin, M.D., Adjunct Professor of Radiology, Columbia Presbyterian School of Medicine, New York, NY, and Attending Radiologist, St. Joseph's Hospital, Paterson, NJ. Review provided by VeriMed Healthcare Network. Also reviewed by David Zieve, MD, MHA, Medical Director, A.D.A.M., Inc.
