![]() | ![]() | ![]() |
| | ||
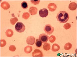
Erythroblastosis fetalis, photomicrograph

Antibodies from an Rh negative mother may enter the blood stream of her unborn Rh positive infant, damaging the red blood cells (RBCs). The infant responds by increasing RBC production and sending out immature RBCs that still have nuclei. This photograph shows normal RBCs, damaged RBCs, and immature RBCs that still contain nuclei.
Update Date: 10/15/2007 Updated by: Deirdre O’Reilly, MD, MPH, Neonatologist, Division of Newborn Medicine, Children’s Hospital Boston and Instructor in Pediatrics, Harvard Medical School, Boston, Massachusetts. Review Provided by VeriMed Healthcare Network.
