![]() | ![]() | ![]() |
| | ||
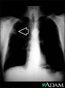
Lung mass, right upper lung - chest X-ray

This picture is a chest x-ray of a person with a lung mass. This is a front view, where the lungs are the two dark areas and the heart and other structures are visible in the middle of the chest. The x-ray shows a mass in the right upper lung, indicated with the arrow (seen on the left side of the picture).
Update Date: 8/29/2008 Updated by: Sean O. Stitham, MD, private practice in Internal Medicine, Seattle, WA; Benjamin Medoff, MD, Assistant Professor of Medicine, Harvard Medical School, Pulmonary and Critical Care Unit, Massachusetts General Hospital. Also reviewed by David Zieve, MD, MHA, Medical Director, A.D.A.M., Inc.
