Medical Encyclopedia

Medical Encyclopedia

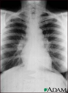
Sarcoid, stage I - chest X-ray

Sarcoid, stage I - chest X-ray

Sarcoid is primarily a lung (pulmonary) disease. In the early stages, a chest film may show enlargement of lymph nodes in the center of the chest near the heart (mediastinum).

Update Date: 9/16/2008

Updated by: Daniel B. Hoch, PhD, MD, Assistant Professor of Neurology, Harvard Medical School, Department of Neurology, Massachusetts General Hospital. Also reviewed by David Zieve, MD, MHA, Medical Director, A.D.A.M., Inc.

A.D.A.M. Logo

The information provided herein should not be used during any medical emergency or for the diagnosis or treatment of any medical condition. A licensed physician should be consulted for diagnosis and treatment of any and all medical conditions. Call 911 for all medical emergencies. Links to other sites are provided for information only -- they do not constitute endorsements of those other sites. Copyright 1997-2009, A.D.A.M., Inc. Any duplication or distribution of the information contained herein is strictly prohibited.