![]() | ![]() | ![]() |
| | ||
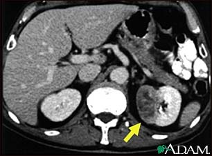
Kidney tumor - CT scan

This CT scan of the abdomen shows a tumor in the left kidney (called hypernephroma, or renal cell carcinoma). It is located on the lower right side of the picture.
Update Date: 6/10/2008 Updated by: David C. Dugdale, III, MD, Professor of Medicine, Division of General Medicine, Department of Medicine, University of Washington School of Medicine; and James R. Mason, MD, Oncologist, Director, Blood and Marrow Transplantation Program and Stem Cell Processing Lab, Scripps Clinic, Torrey Pines, California. Also reviewed by David Zieve, MD, MHA, Medical Director, A.D.A.M., Inc.
